Torre de consultorios Hospital Dalinde
Mier y Pesado 222-410
Col. Del Valle C.P. 03100 CDMX
Tels. 555264-1813 554742-5959 ext. 5410


5519277693
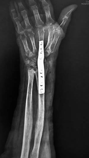
Lesiones del Carpo

El carpo es una zona anatómica extremadamente compleja, no solo se refiere al túnel del carpo (lesión de nervio mediano) sino se refiere a la parte que es en realidad la muñeca, la unión entre el antebrazo y la mano, y es la responsable de que podamos abrir una lata, una botella, atornillar algo, prácticamente todos los movimientos de la muñeca están a expensas del buen funcionamiento de estos ocho huesos y sus ligamentos.
.jpg)

Las alteraciones por pequeñas que sean pueden acarrear un sin número de limitantes e incapacidades de la muñecas y por consecuencia de la mano.


Movimientos finos y/o de fuerza están sujetos a esta estructura anatómica.
.jpg)

Principalmente tenemos dos tipos de lesiones; las fracturas y las lesiones ligamentarias. Todas deben ser tratadas de forma oportuna y de ser posible con la mejor tecnología, como en muchas otras patologías de la muñeca y mano, vamos de lo simple a lo complejo, sin embargo los resultados de una reparación abierta pueden ser muy buenos, la recuperación de esa misma lesión al ser operada con una técnica cerrada, como es la artroscopia nos permitirá un retorno mas pronto a las actividades cotidianas.
​